البريد الإلكتروني لنا
محلول تكديس قلب UltraCore

محلول تكديس قلب UltraCore

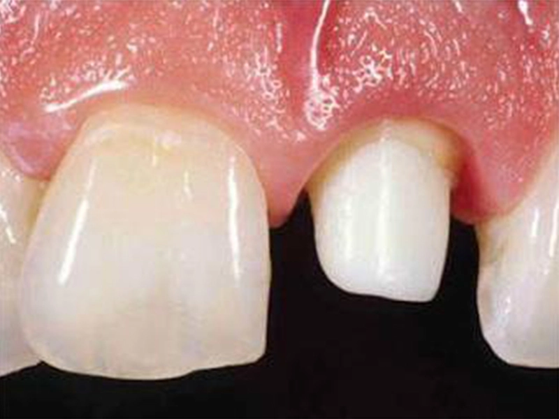
يوفر لك حل تكديس قلب UltraCore أقصى نتيجة تصالحية وعملية مبسطة ، مما يقدم الظروف المثالية لتدعيم التاج الدقيق.

فوائد حل بناء UltraCore الأساسية

  • تتميز بقوة الضغط والانثناء الفائقة ، وتوفر استعادة تدوم طويلاً.

  • تخفيضات مثل العاج الطبيعي وتقدم ظروف مثالية لتدعيم التاج الدقيق.

  • توفر لك تقنيات المعالجة المزدوجة تطبيقًا أسهل ، وتخلص من القلق بشأن الموقف في قناة الجذر.

  • نظام تظليل فني يلبي جميع احتياجاتك الجمالية. إذا كنت تتبع المظهر الطبيعي المثالي ، فإن ظلال العاج الفنية هي خيارك المثالي.

سير عمل البناء الأساسي

1. معالجة قناة الجذر
1. معالجة قناة الجذر

إزالة اللب الملتهب أو المصاب من داخل السن.

2. الجذر بعد الأسمنت
2. الجذر بعد الأسمنت

ضع مركز الأسنان في مركز السن حيث كان اللب.

بناء 3. Core
بناء 3. Core

يوفر Core القوة والدعم ، مما يضمن أي استعادة أخرى.

4. التاج الأسمنت
4. التاج الأسمنت

يمكن أن يؤدي الأسمنت الراتينج الموثوق به إلى إحداث خلل كبير في الترميم النهائي.

المنتجات
ابحث عنا

نحن ندعوك للتواصل معنا. فقط أرسل لنا رسالة أو اتصل بنا.

US Customer Service Manager:

Contact: Gabriella

E-mail: marketing@vincismile.com

Phone: 1-626-283-5808


Online Inquiries or Sales Questions:
US Inside Sales Manager:
Contact: Adrian
Phone: 1-626-400-1204

Email: adrian.r@nobildent.com

كلما وأيا كان ما تحتاجه ، نود أن نقدم لك أفضل حل.
اتصل بنا
البريد الإلكتروني
marketing@vincismile.com